Straight teeth in just 6 months
A smile that’s spoilt by gaps or crooked teeth can make many people feel self-conscious, reserved, or even ashamed of their appearance… There are various solutions to treat crooked teeth, but most take at least 18 months, if not 2-3 years with conventional orthodontic treatment or clear braces. However, our bespoke short-term orthodontic treatment can make a big difference fast. Delivering great results in just six months, they are the perfect solution for a wedding, a new job, or just seeing that ‘brand new you’ sooner when you stand in front of the mirror.
This invisible brace system uses very fine brackets and tooth-coloured wires to ease teeth in the desired direction, concentrating on the front teeth, because they are the ones that show when you smile, and not making significant changes to the bite.
There are no bulky and uncomfortable standard braces to wear for long periods, which is what makes them a great solution for self-conscious teens.
How can teeth be straightened in only six months?
At Town Hall Dental, our orthodontic manufacturing partner employs the latest technology and techniques in dentistry to move your teeth quickly and safely. The key components of the treatment are the use of special nickel titanium wires and a primary focus of moving the teeth that show when you smile.
Six months sounds good, but will I still have a mouth full of metal for the whole time?
No, our braces use teeth coloured or completely clear material, making them significantly less visible than traditional metal braces. These are nothing like the classic train-track metal braces!
Is it more comfortable than regular braces?
Our short-term orthodontic treatment uses low force to move teeth more comfortably. Many people think that the accelerated treatment means simply “tightening” regular braces to get the teeth moving, but that is not true. We utilise standard orthodontic treatment mechanics, but with an emphasis on the cosmetic appearance of your teeth, rather than the position of your bite.
Will I have to wear a retainer?
Yes you will required a removable retainer that you wear at night to prevent the teeth from moving back after treatment.
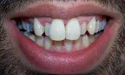
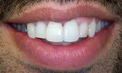
Before and after examples
Get a new smile in just six months
If there’s a special occasion you want to be ready for, or just want to show the world a new smile, our orthodontic treatment can help you see the difference sooner.
This is a great fast and gentle brace system, so why not call on 01484 723788 and arrange a consultation to talk about the options available to you.
